検体検査
1.総合検査室

宇多野病院臨床検査科の総合検査室では、患者様から採取した検体(血液や尿など)を検査します。分野では「生化学的検査」、「免疫学的検査(免疫血清学検査、免疫血液学検査)」、「血液学的検査(血球算定・血液細胞形態検査、血栓・止血関連検査)」、「尿・糞便等一般検査」からなり幅広い分野を検査しています。
血液検査(採血)は、健康状態を知る上で、多くの情報を与えてくれる大切な検査です。
採血室では、患者様が血液検査を安全、迅速に受けて頂けるよう日々努力を続けています。
検査項目(例:血糖、肝酵素など)には数限りがなく、主治医が患者様の状態に合わせて必要な項目を選択します。
生化学的検査および免疫血清学検査
生化学的検査とは血液中に含まれるタンパク質や酵素などの様々な成分を分析する検査で、肝機能、腎機能、脂質や炎症反応に対する検査項目を測定し、病気の診断、治療の判定などに利用します。免疫血清学検査とは血液中に含まれるホルモンや感染症のマーカーなどの様々な成分を分析する検査で、代謝機能、心機能、感染症に対する検査項目を測定し、病気の診断、治療の判定などに利用します。
1.大型の自動分析装置による検査
自動生化学分析装置 LAbOSPECT006
自動免疫血清分析装置 Cobas Pro e801
- 検査の注意点
採血後の検体に溶血(赤血球が壊れること)がある場合は、再採血をお願いする場合があります。 - 検査時間
約45分
2.血液ガス分析

自動血液ガス分析装置
RAPIDPoint 500e
動脈・静脈血を採取して、酸素を取り込む能力や二酸化炭素を排泄する能力や、肺が正常に機能しているかなどを調べる検査です。
3.血中アンモニアの測定

DRI-CHEM NX10N
アンモニアとは主に腸管(大腸・小腸)で作られる蛋白質の分解産物です。
アンモニアは血液を介して主に肝臓で尿素を合成する材料となり、腎臓から尿中に排泄されます。
アンモニアの検査は肝臓の病態評価や高アンモニア血症による意識障害、けいれん、嘔吐等の症状が見られた際に行います。
- 検査時間
5~10分
4.HbA1c分析

自動グリコヘモグロビン分析計
HLC-723 G9
ヘモグロビン(Hb)は赤血球内の蛋白質の一種で、全身の細胞に酸素を送る働きをしています。血液中のブドウ糖がヘモグロビンと結合すると“糖化ヘモグロビン”になります。血糖値が高い場合はヘモグロビンに結合するブドウ糖の量が多くなります。 HbA1cは全てのヘモグロビンの中に糖化ヘモグロビンがどのくらいの割合で存在しているかをパーセント(%)で表したもので、過去2ヵ月程度の血糖値の状態を反映する指標になります。
- 検査時間
5~10分
血液学検査
1.血球算定・血液細胞形態検査

自動血液検査分析装置
XR-1000
血液学検査の一種で、赤血球・白血球・血小板の数などを測定し、全身状態を把握する検査です。この3種類の細胞数とヘモグロビン濃度、ヘマトクリット値などを分析機で測定することを血球算定といいます。
また、必要に応じて白血球を主要な5種(好中球・好酸球・好塩基球・単球・リンパ球)に分類することもあり、これを白血球分類といいます。

主要な5種の白血球です。それぞれ違った役割を持ち、体を細菌などから守っています。
- 検査の注意点
採血後の検体に凝固(血液が固まること)がある場合は、再採血をお願いする場合があります。 - 検査時間
5~10分
2.血栓・止血関連検査

自動止血凝固分析装置
CN-3000
血液がきちんと固まり、正常に止血する機能があるかを調べる検査です。
ワルファリンなどの血液の流れを良くする薬のモニタリングにも利用します。
- 検査の注意点
採血後の検体に凝固(血液が固まること)がある場合は、再採血をお願いする場合があります。 - 検査時間
30分
3.赤血球沈降速度検査

自動赤血球沈降速度測定装置 モニター20
赤血球沈降速度検査とは、専用の採血容器に採取した赤血球が、一定の時間でどれくらい沈むかを調べる検査です。赤血球の数と血漿中に含まれる蛋白の成分によって、沈む速度が変化します。関節リウマチでは病勢の評価指標として赤血球沈降速度検査が検査されています。
- 検査時間
約60分
免疫血液学検査(輸血関連検査)
1.血液型
血液型には多くの種類がありますが、当院ではABO血液型とRh血液型を検査しています。この2種類は、輸血の際に重要な血液型です。
多くの医療機関と同じように当院でも2回の血液型検査を実施し、患者様の血液型を確定しています。
2.赤血球不規則性抗体スクリーニング

輸血検査で使用する試薬類
ヒトは出産、輸血などにより自分以外の血液成分と接触(感作)すると自分以外の血液成分を拒絶する抗体(赤血球不規則性抗体)を作ってしまう場合があります。
赤血球不規則性抗体スクリーニング検査はそれら抗体の有無を調べる検査です。
3.交差適合試験
輸血用血液製剤と患者様の適合性を調べる検査です。
輸血を受ける人(受血者)の血液と、ドナー(供血者)の血液を混合し反応の有無をみます。
尿・糞便等一般検査

自動尿分析装置
CLINITEK Status+
腎臓の健康状態を知ることができます。
腎臓の病気は、進行するまで自覚症状がないことも多く、尿検査で早期診断ができることがまれではありません。糖尿病のある方は、とくに腎臓を悪くしやすいので、定期的に尿検査を受けられることをお勧めします。
また膀胱炎や腎盂腎炎など、感染症を診断する際にも必須の検査です。
- 検査の注意点
採尿量が少ない時は正確な検査ができないため、検査内容により、再採尿をお願いする場合があります。 - 検査時間
約30分
1.尿定性検査
試験紙を用いて行う検査で、尿中の対象物質についての異常の有無を調べます。
主に糖、タンパク、白血球、赤血球、細菌などが対象物質となります。
同時に尿の色や濁りも観察します。
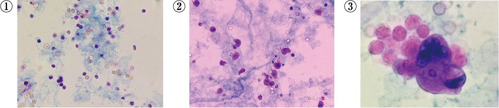
2.尿沈渣検査
尿を遠心分離し沈殿した成分を尿沈渣といい、白血球、赤血球、結晶、細菌などが含まれます。
これらを顕微鏡で観察し、数や有無を調べる検査で、腎臓病や腫瘍などの評価に欠かせません。

出血がある場合は赤血球(写真①)が、尿路感染がある場合は細菌と白血球(写真②)がみられます。
尿路や膀胱から剥がれた細胞をみることも重要です。腫瘍がある場合には写真③のような異型細胞を認ることもあります。
3.便潜血検査
胃潰瘍や大腸癌など、腸管から出血する病気の診断に役立ちます。
- 検査時間
10分
便潜血検査
胃潰瘍や大腸癌など、腸管から出血する病気の診断に役立ちます。
- 検査時間
約10分
2.細菌検査室
私たちの身近には多くの細菌が生息しており、ヒトの体にも多数の細菌が存在しています。その細菌はヒトに対して病原性のない細菌(常在菌)と病原性のある細菌(病原菌)に分類できます。
発熱や咳、下痢、化膿など感染症を疑う症状が現れた時に、その原因を調べることが細菌検査の目的です。そのため細菌検査では、患者さんから様々な検査材料(喀痰・尿・血液・膿・便など)を採取し、感染症の原因となっている細菌(起炎菌)を検索します。起炎菌が分かったら、その細菌に有効な抗菌薬を調べる薬剤感受性検査を行います。
細菌検査室の臨床検査技師は感染制御チーム(Infection Control Team、ICT)および抗菌薬適正使用支援チーム(Antimicrobial Stewardship Team、AST)としても活動しており、医師や看護師、薬剤師と共に院内感染対策や抗菌薬の適正使用に積極的に取り組んでいます。
塗抹検査
スライドがラスに採取した検査材料を薄く塗り標本を作製し、グラム染色を行います。染色後の標本を顕微鏡で観察し、検査材料中にどのような細菌がどれくらい存在しているかを確認します。
グラム陰性桿菌と白血球(尿)
グラム陽性球菌(血液)
培養検査
患者さんの症状や検査材料に存在する細菌の発育に適した培地に検体を塗布し、フラン器で数日培養します。
培地に検体を塗布
培地に細菌(薬剤耐性菌)が発育している

全自動血液培養装置
BACT/ALERT 3D
血液中の細菌を調べる場合は、血液を専用のボトルに採取し、血液培養装置に充填して細菌の発育を24時間モニタリングします。
同定・感受性検査

全自動細菌同定感受性測定装置
Vitek2コンパクト
培養した細菌が症状の原因となる細菌か判断し、菌名を判定する検査が同検査です。また、必要に応じて試験管培地や確認検査を行い、細菌の生化学的性状も調べます。
菌名を判定後、どのような薬剤(抗菌薬)が有効なのか調べる検査が感受性検査です。当院では自動分析装置やドライプレートを使用し、微量液体希釈法で判定しています。
薬剤耐性菌に関しては確認試験を追加し確認しています。

薬剤耐性菌の確認試験
抗酸菌検査
結核菌などの抗酸菌と呼ばれる細菌の検査です。喀痰などの検査材料を処理して標本を作製し、抗酸菌を特異的に染める染色法(チール・ネルゼン染色)を行い、顕微鏡で菌体を確認します。抗酸菌塗抹検査は抗酸菌を検出するうえで最も簡便で迅速な検査方法です。
その後、抗酸菌の発育に特化した培地(小川培地)を用い8週間の培養を行い、抗酸菌が発育するか確認します。抗酸菌が発育した場合は同定検査(PCR検査、質量分析検査等)を行い、菌名を判定します。
チール・ネルゼン染色
(赤く染まっているのが抗酸菌)
小川培地に発育した抗酸菌
(黄色い塊に多数の抗酸菌が存在)
迅速検査

インフルエンザ抗原定性検査
上段:インフルエンザA型陽性下段:インフルエンザB型陽性
迅速検査は検査キットを用い、短時間で原因病原体を検出する検査です。迅速検査の代表的な検査項目として、インフルエンザA・B抗原などがあります。
PCR検査
PCR検査とは、検査材料に含まれるウイルスや細菌の微量なDNAを増幅させることで、現在ウイルスや細菌が体内に存在しているのか(感染しているのか)を調べる検査です。
当院では新型コロナウイルス、結核菌、MAC(非定型抗酸菌)のPCR検査を行っています。
自動遺伝子検査装置TRCReady80
新型コロナPCR検査陽性波形